Transforming Healthcare with AI Innovation
Revolutionizing healthcare diagnostics through advanced AI technology and strategic partnerships with Neuralytics
Our Mission
At Neuralytics, we're committed to transforming healthcare delivery across World by bringing cutting-edge AI diagnostic solutions to medical institutions of all sizes. Through our global partnerships, we combine international expertise with deep local healthcare knowledge.
Precision
Delivering accurate AI-powered diagnostics to enhance medical decision-making
Collaboration
Working closely with healthcare providers to revolutionize patient care
Innovation
Continuously advancing our technology to meet evolving healthcare needs
Case Studies

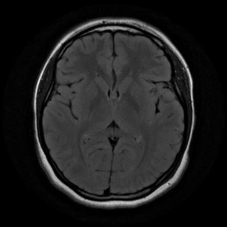
Detect Ischemic Stroke and Vessel Occlusion Using CTA and MRI Scans
Acute Ischemic Stroke (AIS) affects millions of individuals worldwide, with a significant impact on mortality and disability rates. Stroke segmentation plays a crucial role in stroke diagnosis as it enables the identification of the Brain regions affected by stroke. Our automatic 3D segmentation model segments Brain lesions for acute stroke using MRI scan.

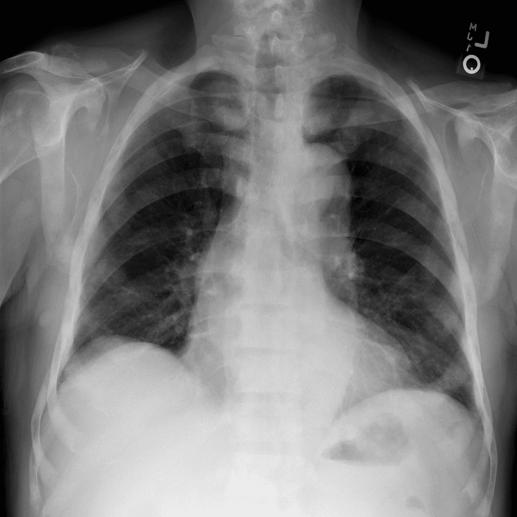
Detect Pneumothorax Using Chest X-ray Images
Leverage advanced AI algorithms to accurately identify Pneumothorax using Chest X-ray imaging. Our solution enhances diagnostic precision, enabling healthcare professionals to make timely and informed decisions for optimal patient care.

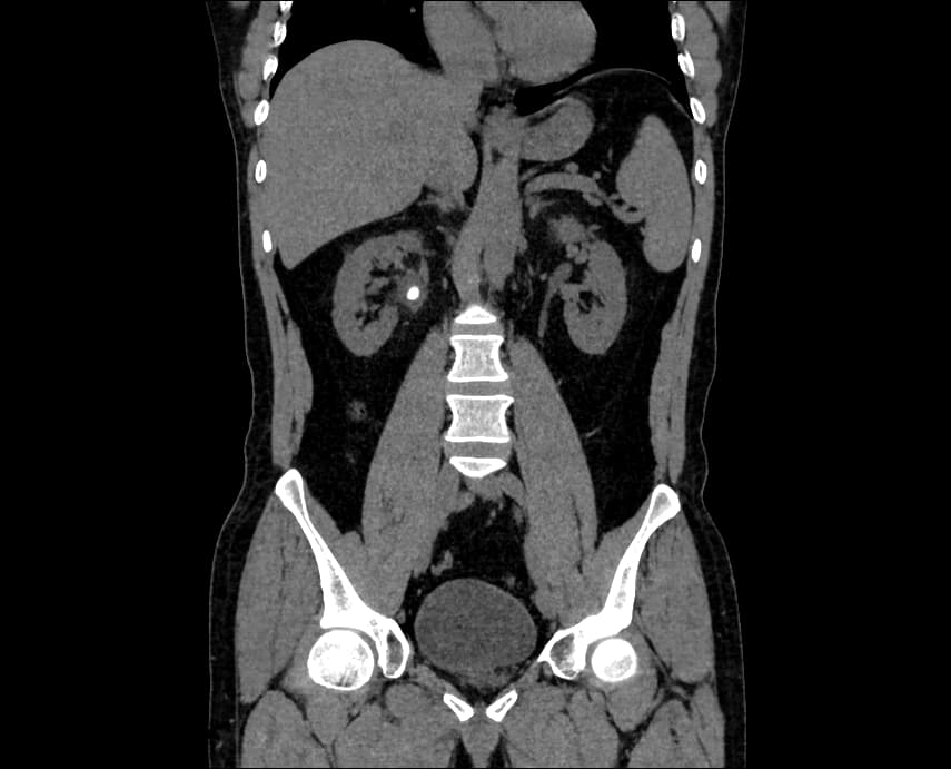
Segment Kidney Tumor from CT Images
Advanced AI techniques enable the precise segmentation of kidney tumors in CT scans. This solution enhances the clarity and accuracy of tumor visualization, assisting medical professionals in developing targeted treatment strategies.
Get inTouch
Have questions about our AI healthcare solutions? We're here to help and would love to hear from you.
Office
Noida, India